Doktorları inandıramadı
Hindistan'da bir adam, yaşadığı ilginç kazanın ardından doktorlara başvurdu, ancak hastanın anlattığı hikayeye kimse inanmadı.
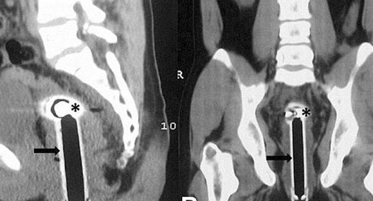
Hindistan’da 26 yaşında ismi açıklanmayan bir adam, banyoda kayarak duş başlığının üzerine düştüğünü söyleyerek hastaneye gitti. Doktorların yaptığı incelemeler sonucunda, duş başlığının adamın rektumundan 15 santimetre kadar içeri girdiği tespit edildi.
Başarılı bir operasyon geçirdiği açıklanan adamın sağlık durumunun iyi olduğu ifade edildi.
Konuyla ilgili açıklamalarda bulunan doktorlar, adamın hikayesinin inandırıcı gelmediği ve ‘muhtemelen’ yaşanan olayın ‘kaza olmadığı’ yönünde görüş belirtti.
SÖZCÜ
Yorum Ekle
Diğer Haberler
Filistinlilerden 'ölüm yasası'na karşı genel grev!
İsrail Meclisi'nin onayladığı, Filistinlileri hedef alan tartışmalı idam yasasını protesto etmek için işgal altındaki Doğu Kudüs'te esnaf greve gitti. Uluslararası tepkilere rağmen onayla...
Trump resmen açıkladı: NATO'dan çekilmeyi düşünüyorum
ABD Devlet Başkanı Donald Trump, NATO'dan çekilmeyi ciddi olarak düşündüklerini söyledi. ABD Başkanı Donald Trump, bugün yapacağı ulusa sesleniş konuşması öncesinde ABD'nin NATO'daki üyel...
ABD ve İsrail'e ortak geliyor: O ülke de savaşa giriyor
İran'ın balistik füze ve drone saldırılarına maruz kalan Körfez ülkeleri içinde 'şahin' konumda bulunan Birleşik Arap Emirlikleri (BAE) İran'ın kapattığı Hürmüz Boğazı'nın açılması için A...
Trump 'sona yaklaştık' İsrail 'savaşa devam' diyor!
ABD Başkanı Donald Trump’ın İran’la savaşın sona yaklaşabileceğine dair açıklamalarına rağmen, İsrail cephesinden dikkat çekici bir uyarı geldi. İsrailli bir yetkili, Washington ile Tahra...
Nükleer taşıma kapasitesine sahip B-52 bombardıman uçağının özellikleri
ABD ve İran arasında gerilim giderek tırmanırken, ABD Savaş Bakanlığı Pentagon'dan dikkat çeken bir hamle geldi. Genelkurmay Başkanı Orgeneral Dan Keane, B-52 Stratofortress bombardıman u...
ABD’den Orta Doğu’ya üçüncü uçak gemisi: USS George H.W. Bush yola çıktı
ABD'nin 3. uçak gemisi USS George H.W. Bush'un Orta Doğu'ya görevlendirildiği, geminin Virginia eyaletinin Norfolk Limanı'ndan hareket ettiği ileri sürüldü.
'ABD ile ittifakımızı güçlendirdik, yeni ittifaklar kuruyoruz'
İsrail Başbakanı Binyamin Netanyahu, "İran’ın bizi yok etmek için yıllar boyunca yaptığı trilyon dolarlık yatırım boşa gitti" dedi. İsrail’in daha önce İran karşısında yalnız olduğunu ve ...
“Gizli salon” tartışması büyüyor
Politico’ya göre AB Bölgeler Komitesi’nin 49 milyon euroluk yenileme projesinde 3,6 milyon euroluk toplantı salonu planının resmi belgelerde yer almaması, şeffaflık tartışmalarını beraber...
İngiltere: Bu bizim savaşımız değil
İngiltere Başbakanı Keir Starmer, Wolverhampton'da partisinin yerel seçim kampanyasının açılışında yaptığı konuşmada, gündeme ilişkin değerlendirmede bulundu. Starmer, Orta Doğu'daki sava...
SOSYAL MEDYA
MAGAZİN
Murat Övüç hakkında tahliye kararı
Sosyal medyada yaptığı paylaşım nedeniyle hakkında soruşturma başlatılan ve 'Halkı kin ve düşmanlığa alenen tahrik etme' suçundan tutuklanan Murat Övüç ikinci kez hakim karşısına çıktı. M...
TEKNOLOJİ
EDİTÖR'ÜN SEÇTİKLERİ
Türkiye'de 5G yarın başlıyor! Telefonda 5G nasıl açılır?
Türkiye'de 5G teknolojisi 1 Nisan itibarıyla kullanıma açılıyor. Fakat yeni nesil internet hızından yararlanmak için yalnızca "uyumlu telefon" yeterli değil. Kullanıcıların hem operatör hem de cihaz ayarlarını aktif hale getirmesi gerekiyor.





Yorumlar
Bu haberde yorum bulunmamaktadir.